Skip to content

Serpentine EarthCache

Hidden : 8/3/2016
Difficulty:
2 out of 5
Terrain:
2 out of 5

Size: Size:   other (other)

Join now to view geocache location details. It's free!

Watch

How Geocaching Works

Please note Use of geocaching.com services is subject to the terms and conditions in our disclaimer.

Geocache Description:

Une earth cache concernant la superbe plage de Nonza, la nature particulière de ses minéraux et la pathologie de l'amiante tirée de cette serpentine.




Serpentine et amiante, généralités

 

L’amiante (nom masculin) ou « asbeste » en vieux français, est un terme désignant certains minéraux à texture fibreuse utilisés dans l’industrie. Ce sont des silicates magnésiens ou calciques ayant des propriétés réfractaires. Les diverses catégories d’amiante correspondent à plusieurs espèces minérales :

– l’amiante blanc ou chrysotile (groupe des serpentines) ;

– l'amiante bleu ou crocidolite (groupe des amphiboles).

L'amiante a attiré l'attention de certains industriels à la fin du XIXe siècle pour sa résistance à la chaleur, au feu, à la tension, aux agressions électriques et chimiques, ainsi que pour son pouvoir absorbant.
Sous sa forme friable, il a été utilisé dans de nombreux calorifugeages et flocages, ainsi qu'en feuilles, feutres, colles, mastics, plaques cartonnées, ou tressé ou tissé. On le trouve aussi (forme non friable) incorporé dans des produits en ciment (amiante-ciment) ou dans des liants divers (colles, peintures, joints, mortiers à base de plâtre, béton bitumineux, matériaux de friction et même asphaltes routiers ou d'étanchéité…). Il a aussi été utilisé pour les patins de freins ou en garniture de chaudière ou fours électriques, ou encore dans diverses installations électriques (ex. : plaques chauffantes) pour ses capacités d'isolation électrique à forte température. Il a été massivement utilisé dans les bâtiments pour ses propriétés ignifuges, isolantes, sa flexibilité, sa résistance à la tension et parfois pour sa résistance aux produits chimiques.





Pathologie de l’amiante.

Mais ce matériau est toxique. L'inhalation de fibres d'amiante est à l'origine de l'asbestose (fibrose pulmonaire) ; de cancers broncho-pulmonaires, ainsi que de cancers de la plèvre (mésothéliome) et de cancers des voies digestives. Les victimes de ces pathologies sont principalement les « travailleurs de l'amiante », mais aussi des personnes exposées de manière environnementale et souvent à leur insu. Bien que les dangers de l'amiante aient été identifiés clairement dès les années 1890, il faudra attendre près d'un siècle, soit les années 1980 et 1990, pour que l'utilisation de l'amiante soit interdite dans de nombreux pays, retard qui a été et sera encore la cause de la mort de dizaines de milliers de personnes. « Toute intervention sur ces matériaux peut émettre des particules et poussières dangereuses » rappelle l'INRS. En France, bien qu'interdit depuis 1997, l'amiante est en 2010 selon l'INRS « encore présent dans de nombreux bâtiments et équipements. Et le risque amiante reste sous-estimé dans certaines professions qui peuvent y être exposées. Or, les maladies liées à l’amiante représentent aujourd’hui la deuxième cause de maladies professionnelles et la première cause de décès liés au travail (hors accidents du travail) » 2200 nouveaux cancers et 1700 décès par an en France selon l’INVS.

Près de 615 à 822 décès par cancer de la plèvre en 2012 pouvaient être imputés à une exposition professionnelle à l'amiante. Également appelé mésothéliome, ce cancer a pour seul facteur de risque avéré à ce jour l'exposition à l'amiante, contrairement au cancer du poumon, favorisé par le tabagisme. Cependant, une augmentation sensible des nouveaux cas de mésothéliome a été signalée entre la fin des années 90 et la fin des années 2000, notamment chez les femmes alors que pour 28 % d'entre elles, aucune exposition à l'amiante n'a été constatée, relève l'InVS.

«On ne sait pas très bien pourquoi» les mésothéliomes sont en augmentation chez les femmes, reconnaît le Pr Gilg Soit Ilg, qui souligne que ces deux cancers apparaissent généralement de très nombreuses années après l'exposition à l'amiante, ce qui complique le travail des chercheurs.

Pour la première fois en France, les scientifiques ont soulevé la possible responsabilité d'une exposition à l'amiante dans 129 à 731 nouveaux cas de cancers du larynx et 46 à 55 cancers de l'ovaire découverts en 2012. Depuis 2009, ces deux pathologies font partie de la liste des maladies induites par l'exposition à l'amiante, établie par l'agence pour le cancer de l'Organisation mondiale de la santé (OMS).

L'amiante pourrait tuer entre 68.000 et 100.000 personnes d'ici à 2050 en France, dont 50.000 à 75.000 des suites d'un cancer du poumon et 18.000 à 25.000 des suites d'un mésothéliome, selon des estimations publiées par le Haut conseil de la santé publique (HCSP)

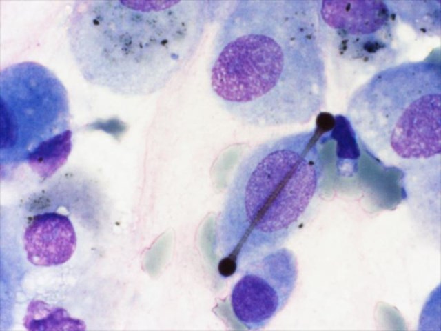
Fibres d'amiante dans un prélèvement pleural
.





 

Minéralogie

 

La serpentine n'est pas une espèce minérale mais une famille de minéraux du groupe des silicates, sous-groupe des phyllosilicates (ou silicates lamellaires). Cette famille contient plus de 20 membres ou polymorphes que l'on retrouve dans des roches métamorphiques riches en hydroxydes de fer, aluminium, manganèse, nickel, zinc, calcium et/ou de magnésium ((Mg, Fe)3Si2O5(OH)4). Étant donné leur origine de transmutation ainsi qu'à cause des nombreux additifs mis en présence durant ce phénomène, ses membres sont souvent difficiles à identifier car ce minéral cristallise également en microcristaux. Les trois plus importants polymorphes de la serpentine sont l'antigorite, le chrysotile et la lizardite. La roche correspondant à la famille de la serpentine est la serpentinite.

La serpentine est utilisée en joaillerie comme pierre taillée ou comme pierre ornementale. Les habitus asbestiformes sont cancérigènes.





Vase de Chine, Rice Museum


Leur coloration olive ainsi que leur aspect souple et écailleux est l’origine du nom de leurs roches d’origine, les roches ophidiennes venant du grec ophidis, serpent, et de sa forme minérale la serpentine qui vient du latin serpentinus qui signifie serpent de pierre. Le terme générique de serpentine couvre toutefois une large palette de minéraux difficiles à identifier qui génère de nombreuses confusions dans la littérature du XIXe siècle et même de la première partie du XXe siècle.

Ces minéraux tirent leurs origines des métamorphoses et altérations des péridotites et des pyroxènes. Les serpentines peuvent également se révéler par la pseudomorphose d’autres silicates de magnésium. Les altérations peuvent s’avérer incomplètes et ainsi provoquer une variation importante des propriétés physiques des serpentines expliquant également l’importante quantité de ses variétés. Les serpentines occupent une proportion importante du manteau rocheux de la Terre, surtout dans les zones anormalement riches en argiles. L’antigorite est le polymorphe de la serpentine le plus courant, issu du métamorphisme humide des roches ultramafiques tout en restant stable jusqu’à des températures de 600 °C et à des profondeurs de 60 km ou plus. Au contraire de la lizardite et du chrysotile qui sont des formes issues des couches superficielles de l’écorce terrestre et qui se dégradent à des températures de l’ordre de 400 °C. Il a été suggéré que la chrysotile n’aurait pas de stabilité totale en regard des deux autres polymorphes principaux de la serpentine. Cet aspect pourrait expliquer sa nocivité en tant qu’agent cancérigène. Des échantillons venant du fond des océans démontrent que les roches ultramafiques sont riches en serpentine. L’antigorite contient de l’eau dans sa structure à hauteur de l’ordre de 13 % de son poids. Il semblerait que l’antigorite jouerait un rôle important dans les phénomènes de transports aqueux souterrains et la création des archipels volcaniques ainsi que l’approvisionnement en eau des zones de fracture des plaques tectoniques permettant aussi à l’eau d’atteindre de très grandes profondeurs.

Les solides issus de la dégradation de la serpentine sont toxiques pour beaucoup de plantes à cause de leur teneur élevée en nickel, chrome et cobalt, la croissance des plantes peut également se trouver inhibée par un fort taux de potassium, phosphore ainsi qu’un appauvrissement du couple calcium/magnésium. La flore de ces régions devient ainsi très caractéristique avec des espèces à faible croissance. Les zones de serpentine sont ainsi généralement des fruticées (comme les maquis), zone de petits arbres, souvent des conifères parfois même en plein milieu de zones forestières, ces zones sont alors dénommées des serpentine’s barren, littéralement « zone stérile à serpentine » à cause du contraste causé par l'intoxication des plantes dans cette zone par rapport aux autres zones.

La plupart des serpentines sont opaques à translucides, légères (densité 2,2-2,9), tendres (2,5-4), infusibles (elles se dégradent, elles ne fondent pas) et peuvent s’avérer acides. Toutes sont microcristallines et en habitus massif, des cristaux isolés n’ont encore jamais été observés. Le lustre est vitreux, gras ou soyeux. Le spectre de couleur est varié, allant du blanc vers le gris jusqu’au bleu, jaune au vert et du marron au noir et sont souvent avec des agrégations ou concentrations voire veiné. Ce sont souvent des minéraux présents en agrégats ou en inclusions mais comportent également des formes en plaques ou en fibres. Leur cristallisation est minuscule et donc souvent non perceptible à l'œil nu. Cependant comme ils peuvent cristalliser en longues fibres, il n'est pas rares de les voir occuper les interstices rocheux comme dans les cas des fentes alpines dans lesquelles ils peuvent atteindre plusieurs mètres de long par fibre.

Gisements en France

Les gisements de serpentine sont ceux de la serpentinite.

  • Dans la Vendée à Mouchamps au lieu-dit « La Chauvinière »Fournel.
  • Puy de Volf à Firmi dans le département de l'Aveyron, ce massif de serpentinite serait le plus important d’Europe.
  • Un gisement a été exploité dans le département de l'Isère sur le massif du Taillefer au lieu-dit de « La Chinarde » au pied des téléskis de la station de l'Alpe du Grand Serre. La carrière à ciel ouvert s'ouvre sur le flanc du sommet de la Chinarde, le marbre extrait varie du vert foncé au vert jaune. Les blocs extraits étaient descendus par le col de l'Oullière pour être taillés à la marbrerie Luyat de la Mure
  • En Limousin, en particulier dans le sud et l'ouest de la Haute-Vienne (région de La Roche-l'Abeille et La Meyze, Vayres) , plusieurs gisements ont été exploités pendant le Moyen Âge et la Renaissance.
  • Dans les Vosges, à Cleurie, se trouvent également des rochers de Serpentine classés en Zone Naturelle d'Intérêt Écologique Faunistique et Floristique (ZNIEFF) par l'Inventaire National du Patrimoine Naturel (INPN). L'école publique locale porte d'ailleurs le nom de la pierre. 
  • Le cap Corse et le versant oriental de l’île contient des centaines de gisements de serpentine   []






Les gemmes

Les formes gemmes sont taillées comme pierres fines et pierres ornementales (les antigorites). Souvent teintée, elle peut imiter le jade et se retrouvera nommée en "Suzhou jade", "Styrian jade", '"jade Teton" et "Nouveau jade". La serpentine de Nouvelle-Calédonie est particulièrement riche en nickel et une des grosses sources au monde de minerai de nickel (népouite).

La bowenite et la williamsite, des variétés d'antigorite sont les variétés les plus courantes avec la lizardite pour ces usages. Leurs coloris délicats, l'aspect translucide mais également leur relative tendreté les rendent attractives pour la sculpture voire les bijoux





Espèces du groupe (polymorphes)

La première difficulté dans la description de ce groupe est que, originellement, il était considéré comme un minéral décliné en plusieurs formes. La deuxième vient de son origine métamorphique et de ses formules extrêmement complexes ce qui fait que Dana et Strunz ne le traitent pas de la même manière, l'un le met en association avec plusieurs minéraux de références et l'autre associe la serpentine avec la kaolinite d'où une catégorisation compliquée avec des points communs. Le groupe n'existe d'ailleurs clairement que dans la classification de Dana, la classification de Strunz versant les serpentines dans les kaolinites.

Catégorisation de Dana

71.01.02a Groupe de la Serpentine

71.01.02a.01 Antigorite (Mg,Fe2+)3Si2O5(OH)4 Cm m, série polysomatique où la tendance à la courbure typique de la serpentine est inversée périodiquement, ce qui donne comme résultat une structure ondulée

 

71.01.02b Sous groupe de la Lizardite

71.01.02b.01 Caryopilite (Mn2+,Mg, Zn,Fe2+)3(Si,As)2O5?(OH,Cl)4 Cm or C 2/m Mono

71.01.02b.02 Lizardite Mg3Si2O5(OH)4 P1 1, à couches droites, où le silicium et le magnésium sont partiellement remplacés par de l'aluminium[;

71.01.02b.03 Garniérite (Népouite) Ni3Si2O5(OH)4 Ccm21 mm2

71.01.02b.04 Greenalite (Fe2+,Fe3+)2-3Si2O5(OH)4 Unk Mono

71.01.02c Sous groupe de l'Amésite

71.01.02c.01 Amésite Mg2Al(SiAl)O5(OH)4 C1 1]

71.01.02c.02 Berthiérine (Fe2+,Fe3+,Al,Mg)2-3(Si,Al)2O5(OH)4 Cm m

71.01.02c.03 Brindleyite (Ni,Mg,Fe2+)2Al(SiAl)O5(OH)4 C 2 2

71.01.02c.04 Fraipontite (Zn,Al)3(Si,Al)2O5(OH)4 Cm m

71.01.02c.05 Kellyite (Mn2+,Mg,Al)3(Si,Al)2O5(OH)4 P 63 6

71.01.02c.06 Manandonite Li2Al4[(Si2AlB)O10](OH)8 C1 1

71.01.02c.07 Cronstedtite Fe2+2Fe3+(SiFe3+)O5(OH)4 P 31m 3m

71.01.02d sous groupe du Chrysotile

71.01.02d.00 Chrysotile Mg3Si2O5(OH)4 A2/m 2/m, principale variété d'amiante, à couches courbes qui forment des spirales

71.01.02d.04 Pecoraite Ni3Si2O5(OH)4 C 2/m 2/m

Clinochrysotile, Orthochrysotile et Parachrysotile ont été déclassés par l'IMA en 2006 et définis désormais comme des polytypes de la Chrysotile.

Catégorisation de Nickel Strunz

Groupe de la kaolinite-serpentine

09.ED Phyllosilicates avec structure de kaolinite

  • 09.ED.05 Dickite Al2Si2O5(OH)4 Cc m
  • 09.ED.05 Kaolinite Al2Si2O5(OH)4 P1 1[]
  • 09.ED.05 Nacrite Al2Si2O5(OH)4 Cc m
  • 09.ED.10 Hisingerite Fe3+2Si2O5(OH)4•2(H2O) Unk Mono
  • 09.ED.10 Endellite Al2Si2O5(OH)4•2(H2O) Cc m
  • 09.ED.10 Halloysite Al2Si2O5(OH)4 Cc m
  • 09.ED.10 Sturtite (Fe3+)(Mn2+,Ca,Mg)Si4O10(OH)3•10(H2O) None
  • 09.ED.15 Clinochrysotile Mg3Si2O5(OH)4 Cc, C 2/m Mono SERPENTINE
  • 09.ED.15 Berthiérine (Fe2+,Fe3+,Al,Mg)2-3(Si,Al)2O5(OH)4 Cm m SERPENTINE
  • 09.ED.15 Brindleyite (Ni,Mg,Fe2+)2Al(SiAl)O5(OH)4 C 2 2 SERPENTINE
  • 09.ED.15 Amésite Mg2Al(SiAl)O5(OH)4 C1 1 SERPENTINE
  • 09.ED.15 Antigorite (Mg,Fe2+)3Si2O5(OH)4 Cm m SERPENTINE
  • 09.ED.15 Caryopilite (Mn2+,Mg, Zn,Fe2+)3(Si,As)2O5?(OH,Cl)4 Cm or C 2/m Mono SERPENTINE
  • 09.ED.15 Fraipontite (Zn,Al)3(Si,Al)2O5(OH)4 Cm m SERPENTINE
  • 09.ED.15 Cronstedtite Fe2+2Fe3+(Si,Fe3+O5)(OH)4 P 31m 3m SERPENTINE
  • 09.ED.15 Chrysotile Mg3Si2O5(OH)4 A2/m 2/m SERPENTINE
  • 09.ED.15 Garniérite (Népouite) Ni3Si2O5(OH)4 Ccm21 mm2 SERPENTINE
  • 09.ED.15 Greenalite (Fe2+,Fe3+)2-3Si2O5(OH)4 Unk Mono SERPENTINE
  • 09.ED.15 Kellyite (Mn2+,Mg,Al)3(Si,Al)2O5(OH)4 P 63 6 SERPENTINE
  • 09.ED.15 Lizardite Mg3Si2O5(OH)4 P1 1 SERPENTINE
  • 09.ED.15 Orthochrysotile Mg3Si2O5(OH)4 Unk Ortho SERPENTINE
  • 09.ED.15 Manandonite Li2Al4[(Si2AlB)O10](OH)8 C1 1 SERPENTINE
  • 09.ED.15 Pecoraite Ni3Si2O5(OH)4 C 2/m 2/m SERPENTINE
  • 09.ED.15 Parachrysotile Mg3Si2O5(OH)4 Unk Ortho SERPENTINE
  • 09.ED.15 Maufite (Mg,Ni)Al4Si3O13•4(H2O) (?) Mono ? Mono
  • 09.ED.20 Allophane Al2O3•(SiO2)1.3-2•((H2O))2.5-3 None
  • 09.ED.20 NeotociteNeotocite (Mn,Fe2+)SiO3•(H2O) (?) None
  • 09.ED.20 Imogolite Al2SiO3(OH)4 ? Mono
  • 09.ED.20 Chrysocolle (Cu,Al)2H2Si2O5(OH)4•n(H2O) Unk Ortho
  • 09.ED.25 Bismutoferrite BiFe3+2(SiO4)2(OH) Cm m
  • 09.ED.25 Chapmanite Sb3+Fe3+2(SiO4)2(OH) Cm m

Mine de Canari et plage de Nonza, Haute Corse,

Entre 1926 et 1965 près de 1400 personnes ont travaillé dans la mine d’amiante de Canari dans la poussière, sans protection et dans des conditions de travail très pénibles dans ce que l’on appelait « L’Enfer blanc »  

Les déchets minéraux de serpentine après extraction de l’amiante ont été rejetés à la mer et ont comblé les cirques créant ainsi des plages artificielles.

Pendant la période qui va de 1948 à l’arrêt de l’exploitation vers 1965, les rejets de l’usine de traitement, envoyés à la mer et brassés par la houle sont déplacés vers le Sud et s’accumulent dans les criques et les baies. La crique d’Albo est comblée en moins de 10 ans. La baie ouverte de Nonza est comblée progressivement formant ainsi vers 1965 une plage quasi continue sur près de 5 kms du bas de l’usine jusqu’à Nonza. L’importance de ce mécanisme de construction de plage est traduite par l’étude de la surface qui passe de 3,5 hectares en 1948 à 28 ha en 1958 et 40.5 ha en 1960.

A partir de l’arrêt de l’exploitation, donc de l’alimentation du processus par les rejets de l’usine et jusqu’en 1983, le littoral continue d’évoluer, avec érosion des plages les plus au nord, transport « des sables » et sédimentation plus au Sud avec créations de plages nouvelles.

Si les minéraux de la plage sont bien « amiantés » être à leur contact ne pose aucun problème puisque c’est la fibre volatile qui, une fois inhalée, est toxique.


 

 Rendez-vous au waypoint "Question to answer" (coordonnées de la cache) et adressez-moi vos réponses soit via mon profil, soit via la messagerie geocaching.com (Message Center). Vous pouvez loguer sans attendre mon autorisation. En cas de mauvaise réponse, je vous contacterai. :

Questions :

1 : sur le panneau vous pouvez voir que le Monte Cucaru se dresse devant vous, avec votre boussole donnez moi son cap.

2 : Quel est le tonnage de serpentine extrait sur la période indiquée sur ce panneau ? 

3 : Quel est l'autre nom de l'amiante blanc? 

4 : Quel nom donne-t-on à la pathologie liée à l'amiante?

 5 : Combien d’oiseaux et de bateaux sur ce même panneau ?

6 : Sur votre droite une barre de schiste bleu affleure au sol. Donnez-moi ses dimensions approximatives.

 

Vous pouvez prendre une photo avec votre GPS et la tour Paoli.

 

Go to the waypoint Question to answer (cache coordinates) and send me your answers. You can log "found it" now. In case of mistake, I'll contact you.

1: On the sign you can see that Monte Cucaru raises itself in front of you, with your compass give me its cape.


2: What is the tonnage of serpentine extracted over the period indicated on this sign ?

3 : What's the other name for white asbestos?  

4 : What name do we give to the pathology associated with asbestos? 

      5 : how many birds and boats on the same sign?


6: On your right a bar of blue schist appears on the ground. Give me its rough dimensions.

If you want, you can take a photo with your GPS and the “Paoli tower”

 



.





Serpentine and asbestos,

Asbestos (noun) or "asbestos" in old French, is a term some fiber texture minerals used in industry. These are magnesium or calcium silicates with refractory properties. The various categories of asbestos correspond to several mineral species: - Chrysotile or white asbestos (serpentine group); - Blue asbestos or crocidolite (amphibole group). Asbestos has attracted the attention of some industry in the late nineteenth century for its resistance to heat, fire, voltage, electrical and chemical attacks, as well as its absorbency. In its friable form, it has been used in many lagging and sprayed coatings, as well as sheets, markers, adhesives, sealants, cardboard plates, or braided or woven. It is also found (not friable form) incorporated in cement products (asbestos cement) or in various binders (adhesives, paints, gaskets, gypsum mortar, asphalt, friction materials and even road asphalt or sealing ...). It was also used for brake pads or trim boiler or electric ovens, or in various electrical installations (eg. Hot plates) for its high temperature electrical insulation capabilities. It has been massively used in buildings for its flame-retardant properties, insulation, flexibility, tensile strength and sometimes for its resistance to chemicals.

Pathology of asbestos.

 But this material is toxic. Inhalation of asbestos fibers is causing asbestosis (pulmonary fibrosis); of lung cancers, as well as cancers of the pleura (mesothelioma) and digestive tract cancers. The victims of these diseases are mainly the "asbestos workers" but also people exposed to environmental and often without their knowledge. Although the dangers of asbestos have been clearly identified by the 1890s, it will take almost a century, the years 1980 and 1990, for the use of asbestos is banned in many countries delay which was and still is the cause of the deaths of tens of thousands of people. "Work on these materials can emit dangerous particles and dust" reminds INRS. In France, although forbidden since 1997, asbestos is in 2010 according to the INRS "still present in many buildings and equipment. And the rest asbestos risk underestimated in some professions that can be exposed. However, asbestos-related diseases now represent the second leading cause of occupational disease and the leading cause of work-related deaths (excluding accidents) "2200 new cancers and 1,700 deaths per year in France according INVS. Nearly 615-822 deaths from cancer of the pleura in 2012 could be attributed to occupational exposure to asbestos. Also called mesothelioma, the cancer has only established risk factor to date of exposure to asbestos, contrary to lung cancer, favored by smoking. However, a significant increase in new cases of mesothelioma were reported between late 90s and late 2000s, particularly among women, while 28% of them, no exposure to asbestos has been ascertained, reports InVS. "It is not clear why" mesothelioma are increasing in women, recognizes Professor Gilg Either Ilg, who points out that these two cancers usually appear many years after exposure to asbestos, which complicates work of researchers. For the first time in France, scientists have raised the potential liability of asbestos exposure in 129-731 new cases of laryngeal cancers and 46-55 ovarian cancers discovered in 2012. Since 2009, these two pathologies are part of the list of diseases caused by exposure to asbestos, established by the agency for the World health Organization cancer (WHO). Asbestos could kill between 68,000 and 100,000 people in 2050 in France, 50000-75000 suites with lung cancer and 18,000 to 25,000 as a result of mesothelioma, according to estimates published last August by the high public health Council (HCSP).

Mineralogy

Serpentine is not a mineral species but a family of silicate minerals group, subgroup of phyllosilicates (or phyllosilicates). This family contains more than 20 members or polymorphs that are found in metamorphic rocks rich in iron hydroxides, aluminum, manganese, nickel, zinc, calcium and / or magnesium ((Mg, Fe) 3Si2O5 (OH) 4) . Since their origin transmutation as well as because of the many additives brought into contact during this phenomenon, the members are often difficult to identify because the mineral also crystallized microcrystals. The three largest are polymorphic serpentine antigorite, chrysotile and lizardite. The rock corresponding to the family of serpentine is serpentinite. Serpentine is used in jewelry as cut stone or as an ornamental stone. Asbestiform habitus are carcinogenic. Their olive coloring and their supple scaly and is the origin of the name of their original rocks, ophidian rocks from the Greek ophidis, snake, and its mineral serpentine form that comes from the Latin meaning serpentinus stone serpent . The serpentine generic term, however, covers a wide range of difficult to identify minerals that generates a lot of confusion in the literature of the nineteenth century and the first part of the twentieth century. These minerals have their origins and metamorphoses alterations of peridotite and pyroxene. Snapping can also prove by the pseudomorphose other magnesium silicates. The alterations may be incomplete and cause a significant change in physical properties of serpentine also explaining the significant amount of its varieties. Snapping occupy a significant proportion of the rocky mantle of the Earth, especially in unusually rich areas clays. The antigorite is the polymorph of the most common serpentine, from wet metamorphism of ultramafic rocks while remaining stable up to temperatures of 600 ° C and at depths of 60 km or more. Unlike lizardite and chrysotile which are forms from the surface layers of the earth's crust and which degrade at temperatures of around 400 ° C. It was suggested that chrysotile would not have total stability opposite the two other main polymorphs of serpentine. This could explain its harmfulness as an agent carcinogenic. Samples from the ocean floor show that ultramafic rocks are rich in serpentine. The antigorite contains water in its order of height to structure 13% of its weight. Apparently antigorite play an important role in the underground aqueous transport phenomena and creating volcanic island and the water supply of fracture zones of tectonic plates also allow water to reach great depths . The solids from the degradation of the serpentine are toxic to many plants because of their high content of nickel, chromium and cobalt, plant growth can also be inhibited by high levels of potassium, phosphorus and a depletion torque calcium / magnesium. The flora of these regions becomes very characteristic with low-growing species. The serpentine areas are thus generally shrublands (such as maquis), area of ​​small trees, often coniferous sometimes even in the middle of forest areas, these areas are then called serpentine's barren, literally "sterile area serpentine" because contrast caused by the poisoning of the plants in this area compared to other areas. Most serpentines are opaque to translucent, light (density 2.2-2.9), tender (2.5-4), infusible (they degrade, they do not melt) and may be acids. All are microcrystalline solid and habitus, single crystals have never been observed. Luster is vitreous, greasy or silky. The color spectrum is varied, ranging from white to gray to blue, yellow to green and black to brown and often with aggregations or concentrations or veined. They are often present in mineral aggregates or inclusions but also include forms plaques or fibers. Their crystallization is tiny and therefore often invisible to the naked eye. However as they can crystallize into long fibers, it is not rare to see them occupy the rocky crevices as in the case of alpine slots in which they can reach several meters long fiber.

 Deposits in France

The serpentine deposits are those of serpentinite. • In the Vendée Mouchamps at a place called "The Chauvinière" Fournel. • Puy de Volf to Firmi in the department of Aveyron, this massive serpentinite would be the largest in Europe. • A deposit was mined in the Isère department of the Taillefer at a place called "La Chinarde" at the foot of the ski lifts of the resort of Alpe du Grand Serre. The open pit opens on the side of the top of the Chinarde, the extracted marble varies from dark green to yellow green. The extracts were blocks down the neck of the Oullière to be hewn marble Luyat of Mure • In Limousin, particularly in the south and west of the Haute-Vienne (Roche-Region Bee and The Meyze Vayres), several deposits have been exploited during the Middle Ages and the Renaissance. • In the Vosges, in Cleurie, are also rocks Serpentine classified Natural Area of ​​Ecological Interest Fauna and Flora (SSSI) by the National Inventory of the Natural Heritage (INPN). The local public school also bears the name of the stone. • The Cap Corse and the eastern side of the island contains hundreds of serpentine deposits .

Gems

The gems are cut shapes like gemstones and ornamental stones (the antigorite). Often tinted, it can imitate jade and find himself named "Suzhou jade", "Styrian jade" "jade Teton" and "New jade". The snapping of New Caledonia is particularly rich in nickel and one of the big sources of world nickel ore (népouite). The bowenite and williamsite, varieties of antigorite are the most common varieties with lizardite for these uses. Their delicate colors, the translucent appearance but also their relative softness make them attractive for sculpture or even bijoux.

 group of species (polymorphic)

The first difficulty in the description of this group is that, originally, it was considered a mineral available in several forms. The second comes from its metamorphic origin and its extremely complex formulas so that Dana Strunz and do not address the same way, one puts in association with several minerals of reference and the other associated with the serpentine kaolinite resulting in a complicated categorization with communs7,8 points. The group is also clear that in the Dana classification, classification of Strunz slope serpentine in kaolinites.

Mine Canary and beach Nonza, Haute Corse,

Between 1926 and 1965 around 1,400 people worked in the asbestos mine canary in the dust, unprotected and in harsh working conditions in what was called "The White Hell" Serpentine mineral waste after mining of asbestos were released into the sea and have filled circuses creating artificial beaches. During the period from 1948 to the cessation of operations by 1965, discharges of the treatment plant, sent lamer and churned by waves are moved to the South and accumulate in the coves and bays . Creek Albo is filled in less than 10 years. The open bay of Nonza is filled gradually forming around 1965 a range almost continuously for nearly 5 kms from the bottom of the plant to Nonza. The importance of this range of construction machinery resulted in the study of the surface from 3.5 hectares in 1948 to 28 ha in 1958 to 40.5 ha in 1960. From the cessation of operations, thus feeding the process by discharges from the plant and until 1983, the coastline continues to evolve, with erosion of the north beaches transportation "of sands "and settling further south with creation of new beaches. If the minerals from the beach are "asbestos" be in contact with them is not a problem since it is the volatile fiber which, when inhaled, is toxic.







Additional Hints (No hints available.)