Tato keš patří do série
„ČEŠTÍ VYNÁLEZCI SVĚTU“, která byla založena pro geomaraton Valašské keškobraní 2021. Pro tento ročník keškobraní bylo založeno přes 130 keší v několika sériích.
ČEŠTÍ VYNÁLEZCI SVĚTU

Tato série obsahuje 20 keší rozmístěných po žluté turistické trase směrem od Vsetína na Cáb, odkud se stáčí po Baťově naučné stezce do Červenky.
Na trase najdete devět tradičních a dvě multi keše.
Doporučujeme předem vyluštit devět mysterek a jít trasu směrem od Vsetína. Určitě využijete i T5 výbavu (může se vám hodit nejen pro odlov bonusovky).
Cílem této série mimo zábavy při odlovu v terénu je také, seznámit Vás se známými i méně známými vynálezy a objevy. Konkrétně vynálezy a objevy, které dali světu lidé, kteří v Českých zemích žili, nebo tvořili, nebo se zde aspoň narodili. Důmysl, vtip, zručnost a originální nápady nikdy českým lidem nechyběly, mnohým se podařilo nesmazatelně zapsat mezi světové velikány.
---------------------------------------------------------------------------------------------------------------------------
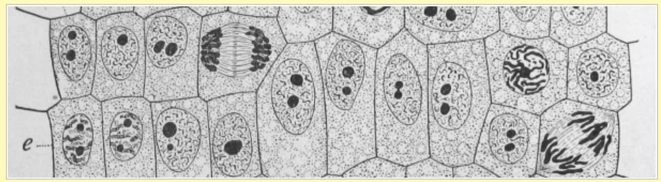
BUNĚČNÁ STRUKTURA, STRUKTURA ORGÁNŮ A KINESISKOP
Fyziologie – buněčná struktura, struktura orgánů; užití animace ve vědě a výuce – kinesiskop.
To jsou jen některé z mnohých oblastí do kterých svou bohatou vědeckou činností zasáhl český lékař a biolog
Jan Evangelista Purkyně.
Zabýval se mj. studiem stavby oka, mozečku, testováním účinků mnoha látek (farmakologie), stavbou a funkcí rostlinných buněk, studiemi sluchu, kožního povrchu, orgánů lidské řeči, mechanismem trávení, či krevním oběhem a dýcháním. Prováděl experimenty v oblasti embryologie, zdokonalil a vyvinul mnohé mikroskopické techniky a mnoho dalších.
K velice významným počinům patří též formulace buněčné teorie roku 1837. Za důležitý vědecký přínos lze považovat prosazení nového pojetí fyziologie, kterou chápe jako experimentální vědu navazující na poznatky chemie, fyziky a dalších přírodních věd.
V rámci zavádění metod výuky pomocí experimentů a znázorňování sestrojil přístroj zvaný
kinesiskop, umožňující předvést jednoduchou animaci obrázků. Později se pokoušel jednotlivé sekvence animace zachytit fotografickou cestou. Známé jsou jeho animované prezentace tepajícího srdce a krevního oběhu. Touto cestou se tedy také stal průkopníkem animovaného filmu.
Jan Evangelista Purkyně se narodil 18. prosince 1787 v Libochovicích na Litoměřicku. Studoval filozofii a medicínu na pražské univerzitě, kde studia roku 1818 úspěšně zakončil. Působil jako profesor na univerzitě ve Vratislavi (tehdy pruské Breslau, dnes Wrocław), a od roku 1850 na univerzitě v Praze.
Roku 1853 založil, dodnes vycházející časopis Živa. Významná je také jeho činnost buditelská a politická. Věnoval se také překládání, mj. Schillerových básní do češtiny, či Čelakovského Ohlasy písní českých do polštiny a mnohým dalším činnostem na podporu slovanské kultury. Roku 1848 se účastnil Slovanského sjezdu v Praze. Byl členem několika (londýnské, vídeňské, pařížské) učených společností, akademií, a také poslancem zemského sněmu. Obdržel několik vyznamenání, čestný doktorát a rytířský řád. Purkyně zemřel 28. července 1869 v Praze a je pochován na vyšehradském Slavíně. Jako vynikající český malíř je známý jeho syn Karel.
Zdroj: VLASTENCI.CZ